
子どもの歯並びがガタガタだけど、いつ歯医者さんに行ったらいいのかとよく質問をうけます。
じゃぁ、ここで問題です。
歯医者さんに行くタイミングは次のうちのどれでしょう・・・
①全て生え変わりがおわってからでいいよ
②生え変わりの途中に行こう
③歯並びがあれ?変かな?と、思った時
子どもの歯並びがガタガタだけど、いつ歯医者さんに行ったらいいのかとよく質問をうけます。
実際に歯医者さんに行くと、「生え変わりが終わるまで様子をみましょう」と言われることが多いですね。
いつまで様子を待てばいいのか・・・とても不安で気になりますよね。
正解は・・・
③歯並びがあれ?変かな?と、思った時 なんです
いいかおをつくるためには、悪い歯並びのまま待っていてはいけません
悪い歯並びのまま様子をみていても、自然と治ることはありませんから
子どもの歯は6才~12才ぐらいまでに永久歯に生え変わりが終わります。
上の前歯が永久歯に生え変わったころには、未来予測がつきます
そもそも、子供の歯の生え方がおかしくなったのはどうしてだろう
①遺伝によるもの
②生活習慣
③癖
④姿勢
子どもの悪い歯並びの原因TOPは、舌の間違った位置による悪習癖。
それに、お口ポカン
(ガタガタ叢生)舌の悪習癖のため上下前歯が噛み合わない
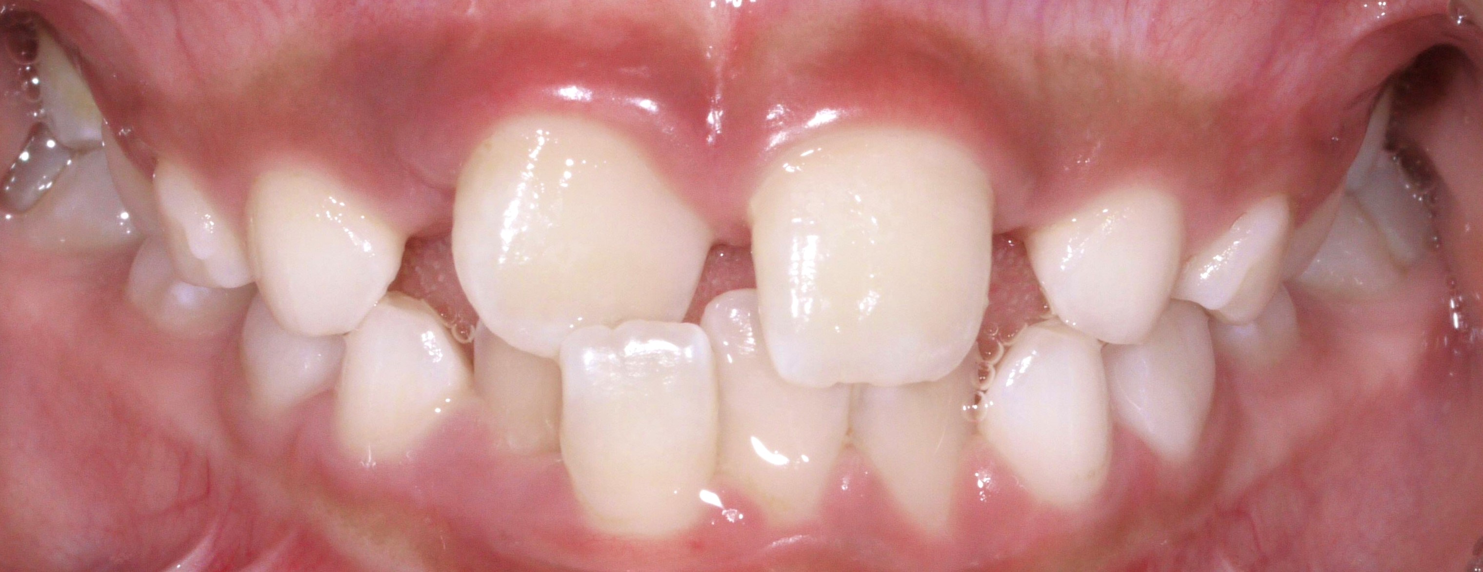
(交叉咬合)上の前歯が下の歯の内側に入ってる
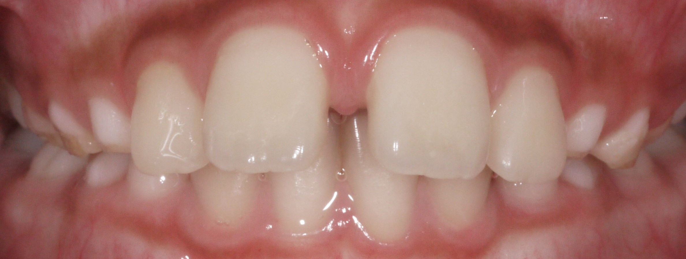
(正中離開)すきっ歯
あれっ?歯並びおかしい・・・と思った時が、歯医者さんに行くBESTタイミングです
SEARCH
CATEGORY
GROUP
よく読まれている記事
KEYWORD