
[子供の前歯にすき間があり上の前歯がハの字に生えてきたけど治りますか?]
と、よくご質問を受けます。
乳歯が抜けると永久歯は真っすぐキレイに並んで生えてくるはずでは?
と思っている方も多いでしょうが・・・
永久歯の前歯4本はハの字のような扇形に生えてくるのが普通で、10才くらいに生え変わる両隣の歯や犬歯に押されるとキレイに並ぶこともあります。
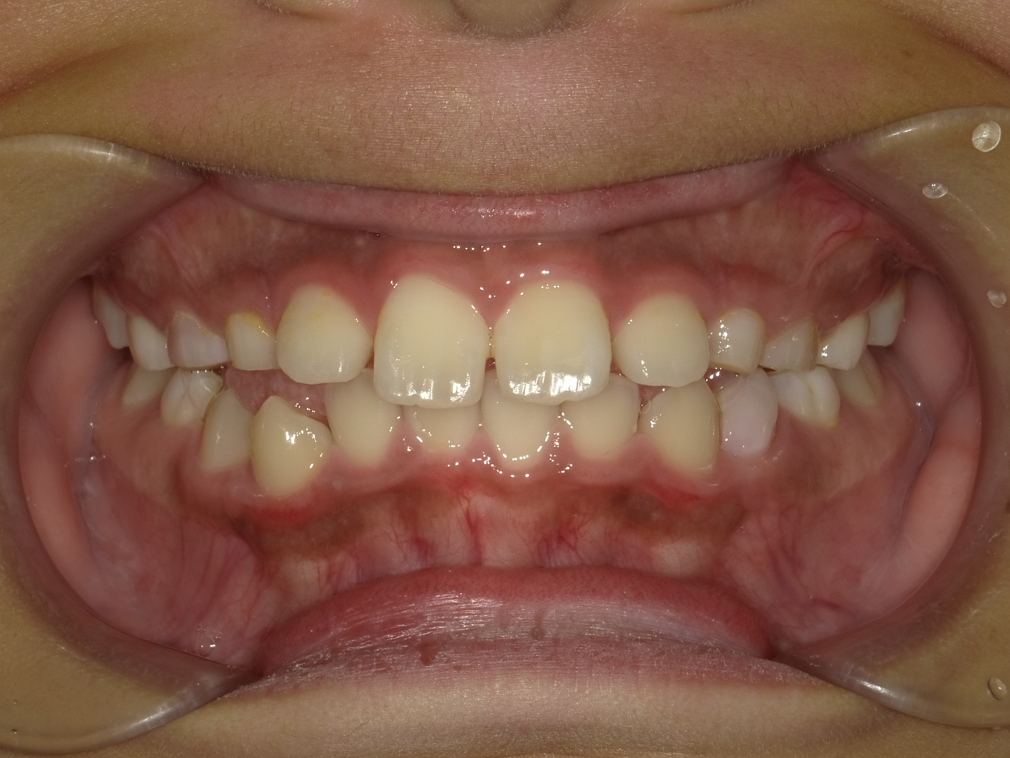
「でも、よく見ると上の前歯2本だけの問題ではないですよ・・・」(当時、7才)と、院長。
①上下の永久歯が並ぶためのスペースが不足しています
②交叉咬合(上の歯が下の歯の内側に入っている)
真ん中の前歯2本の間に大きなすき間はあるのですが、その両隣の歯が生えるスペースは全くありません。
それに、舌の悪習癖が原因で下の前歯がでています。
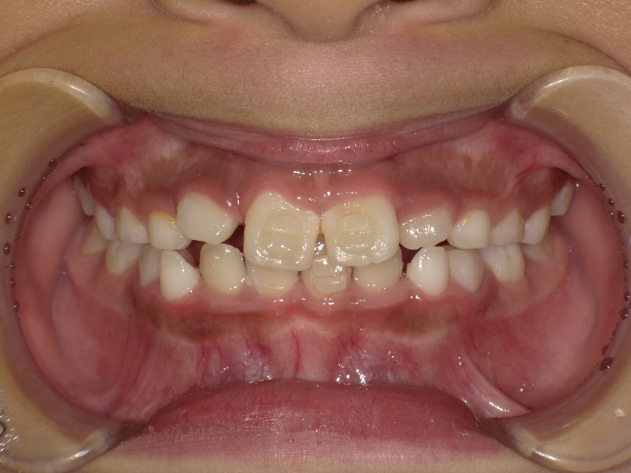
ハの字になった前歯を治すために、にプラスチック素材の簡単なボタンを付けて引っ張ることですき間をなくすことにしました。ハの字になった前歯を治すために、にプラスチック素材の簡単なボタンを付けて引っ張ることですき間をなくすことにしました。
上下の床矯正拡大装置で治療は同時進行したので、同じ時にキレイな歯並びになりました。
SEARCH
CATEGORY
GROUP
よく読まれている記事
KEYWORD