
歯並びが悪くなった原因はもちろん遺伝だよね?
「どうして、こんなに歪んで生えてくるんですか?このままなら、どうなりますか?」「私の歯並びに似てしまったのかなぁ・・・」と、慌てて相談に来られる親御さんがいらっしゃいます。
お子さんの歯並びを悪くした原因の多くは、①アゴの骨の発育不足です。アゴの骨の発育が不十分なため、歯がキレイに並ぶことができないのです。つまり、アゴのスペース不足が原因のひとつになります。
では、どうしてアゴの骨の発育不足になったのでしょう?
骨は自然に成長するものと思っている方も多いでしょうが、そうではありません (´・ω`・)?
骨の成長は、運動刺激と栄養が大切なのです。
現在では豊かな食生活にはなったものの、アゴの骨の刺激にならない「軟食化」によるほっそりしたアゴの小さい子が増えています。通院している子どもたちの好きな食べ物を聞くと、お寿司、カレーライス、唐揚げ、オムライス、ハンバーグ、ラーメン、パスタ、ケーキ、マクドナルドなどです。どれも、それほど噛まなくてもよい食事ばかりですね。
次に、②口呼吸です。わが子がいつも口を開けていることに意外と気づいていないご両親が多いことに驚きます。指摘すると、「そういわれてみるとそうかも~?」くらいの反応です。
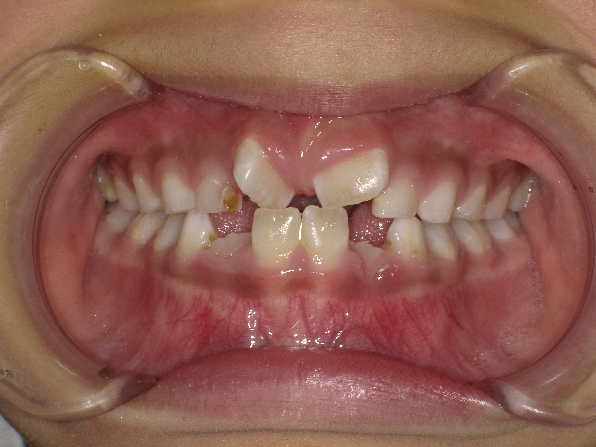
いつも口を開けている状態でいると、唇で前歯を押さえる力がかからないので、結果歯が外側に倒れ、すきっ歯や出っ歯になります。
アレルギー性鼻炎や慢性鼻炎のある子は口呼吸になって当然なので、耳鼻科受診を勧めることもあります。
口呼吸と大きく関連して歯並びが悪くなった原因に、③正しい舌の位置を知らないことがあります。
「いつも口を閉じたときに、舌はどこにありますか?」と、聞くと・・・
「下の歯についてます」「舌は下にあります」と、言われます。なかには、親子で違うよ~ここだよと、当たり前のことが当たり前でなかったことに気づかれたりします。
幼児期に指しゃぶりを長く続けていたり、離乳食が始まった時にスプーンを押し込んだりするだけで、舌の位置が低い「低位舌」になってしまいます。
赤ちゃん期のアゴの骨の発育は舌の筋トレから始まります。舌は7つの筋肉でできています。これらの筋肉をしっかり使えないままでいると、「低位舌」になります。
赤ちゃんが生きるためにお乳を吸う度の舌の刺激によって上アゴの骨の発育がはじまっているのです。赤ちゃんの唇や舌の筋肉の萎縮がアゴの骨への運動刺激になっています。離乳食がはじまった時には一層慎重にしないと、スプーンで口の中に押し込んだり、早くストローで飲ませたりすると間違った舌の位置を教えていることになります。不幸にも、歯並びの悪い子の殆どが正しい舌の位置を知りません。
では・・・
Q.正しい舌の位置ってどこ?(正しい姿勢でお口を閉じて考えてみてください)
A.舌全体が上アゴについていることです
どうでしたか?アゴの骨の成長は6歳までに80%仕上がります。
先天性の遺伝よりも・・・むしろ、舌の位置が大きく影響します。
舌の位置が間違ったまま、「低位舌」状態でいると滑舌が悪く、発音も不鮮明になります。また、上アゴを押さないために、上アゴがうまく成長せず、歯並びが悪くなります。
正しい舌の位置わかるかな?
その生活習慣がお子さんの歯並びをドンドン悪くしています
①正しい舌の位置を知らない
②お口ポカ~~ン(口呼吸)
③3才過ぎても指しゃぶりや爪かみ
④姿勢が悪い
⑤うつぶせ寝
⑥机に頬杖
⑦虫歯や歯の外傷の放置
⑧飲み込む食事や軟らかい食材ばかり
一つでも☑があると要注意!!
この唇の持ち主は、皆さんお口ポカン!の輪郭がぼやけたポッテリ唇ですね。
口を閉じてと言っても、微妙に開いてる子もいますね。共通して皆さん、「低位舌」で歯並びの悪い子たちです。
矯正治療の前に、舌を上にあげるトレーニングと口を閉じるトレーニングが必須です。
ガムトレーニングできるかな?
SEARCH
CATEGORY
GROUP
よく読まれている記事
KEYWORD